Птичий грипп нацелился на молочные железы.
Вирус H5N1 способен поражать ткани, вырабатывающие молоко, не только у коров, но и у других млекопитающих. Обнаружение птичьего гриппа в молоке дойных коров высветило ранее недооценённую мишень для вируса H5N1 — молочные железы. Новое исследование показывает, что эта особенность вовсе не уникальна для коров.

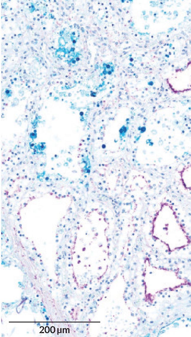
Клетки молочной железы коровы имеют на своей поверхности специфические сахара (на микроскопическом изображении они показаны фиолетовым цветом), которыми вирус H5N1 (синий) пользуется для проникновения и развития инфекции.
В лабораторных опытах мыши и хорьки, которым вводили через нос вирус H5N1, выделенный у коровы, развивали инфекцию молочных желез. Об этом 8 июля 2024 сообщили вирусолог Эми Айсфельд из Университета Висконсина в Мэдисоне и её коллеги в журнале Nature. Более того, штамм птичьего гриппа, полученный от инфицированного человека в 2004 году, также проникал в молочные железы мышей и хорьков.

Инфекция птичьего гриппа у коров может приводить к снижению надоев, поскольку вирус поражает клетки молочных желез. Подобные поражения возможны и у других млекопитающих.
Обычно вирусы птичьего гриппа поражают дыхательную систему, однако способны внедряться и в другие ткани и органы. Ранее уже появлялись намёки на то, что вирус может проникать в молочную ткань. Так, ещё в 1953 году было показано, что другой штамм птичьего гриппа способен инфицировать молочные железы коров. А более позднее исследование выявило, что вирус, вызвавший пандемию 2009 года, заражает молочные железы хорьков. В совокупности с новыми данными это говорит о том, что ткани, характерные именно для млекопитающих, являются для вируса гораздо более привычной мишенью, чем считалось ранее.
Текущая вспышка среди коров в США уже затронула более 170 молочных стад в 13 штатах. У части животных заболевание протекает бессимптомно, у других наблюдаются повышение температуры, снижение аппетита и падение удоев.
Чтобы проникнуть в клетки молочной железы коровы, вирус использует молекулы сахара на поверхности клеток, как сообщают исследователи в июльском выпуске Emerging Infectious Diseases (2024). Оказавшись внутри, вирус может попадать в молоко. Подобные инфекции, вероятно, объясняют распространение вируса среди скота: заражённое доильное оборудование может переносить его от вымени одной коровы к другой.
Птичий грипп также обнаружен в дыхательных путях коров. Однако, несмотря на высокую концентрацию вируса в этих тканях, его передача воздушно-капельным путём остаётся ограниченной. По словам вирусолога Ричарда Уэбби из Детского исследовательского госпиталя Сент-Джуда (Мемфис), коровы, по-видимому, не являются удобным хозяином для вируса, если только он не попадает непосредственно в вымя.
В исследовании, опубликованном в Nature, команда Айсфельд изучала вариант H5N1, выделенный у коровы в штате Нью-Мексико. Учёные стремились выяснить, вызывают ли такие штаммы у животных симптомы, сходные с наблюдаемыми у коров, и каким образом происходит передача вируса.
У мышей и хорьков вирус распространялся по нескольким жизненно важным органам, включая молочные железы. Заражённые самки мышей передавали вирус детёнышам через молоко, однако при непосредственном контакте заражения здоровых взрослых особей не происходило. Среди хорьков лишь одно животное из четырёх, находившихся в соседней клетке с инфицированными, продемонстрировало признаки болезни — ещё одно свидетельство того, что данный вариант вируса плохо распространяется по воздуху.
В целом риск для человека остаётся низким, подчёркивают специалисты по общественному здравоохранению. Однако у работников ферм вероятность заражения выше, чем у остального населения. Уже подтверждены четыре случая среди сотрудников молочных хозяйств, хотя реальное число инфекций, по всей видимости, значительно больше.
Потребителям рекомендуют избегать сырого молока. При этом молоко, представленное в магазинах, остаётся безопасным: широко применяемая пастеризация эффективно уничтожает вирус H5N1, отмечает Управление по контролю за продуктами и лекарствами США.
Тем не менее учёные внимательно следят за возможными изменениями вируса. Клетки коров обладают также рецепторами, через которые проникают человеческие вирусы гриппа. Если птичьи и человеческие вирусы встретятся и обменяются генетическим материалом, могут возникнуть новые варианты гриппа, лучше приспособленные к заражению людей.
Источник: ERIN GARCIA DE JESÚS, Science News, 2024. Vol.206 #3
Теги:
#медицина #вирусы
Синий кит — секреты ДНК гиганта.
Кораллы наносят ответный удар.Комментарии:
Нет комментариев :( Вы можете стать первым!
Добавить комментарий:
Язык боли: звук «ой» не знает границ.
Смертоносные паразиты получают новую работу: модифицированный Toxoplasma gondii доставляет лекарства в мозг мышей.
Сохраняемость мозга после смерти.
Мы пьём ту же воду, что и динозавры?
Могут ли животные испытывать смущение?
